Tumores da hipófise: sintomas, diagnóstico e tratamento
Alterações hormonais e visão em risco são alguns dos sinais de problemas na "glândula mestre"
A hipófise, conhecida como glândula pituitária, mede pouco mais de 1 centímetro, mas controla quase todo o sistema hormonal do corpo.
Localizada na base do crânio, atrás dos olhos, ela é responsável por produzir hormônios essenciais para o crescimento, funcionamento da tireoide, das glândulas sexuais, das adrenais e para a lactação.
Por isso, quando surge um tumor nessa região, os efeitos podem ser diversos e, muitas vezes, inesperados.
O que são os tumores da glândula hipófise?
A maioria dos tumores da hipófise é benigna e de crescimento lento. São chamados de adenomas e podem ser divididos em dois tipos:
- Funcionantes: produzem hormônios em excesso, podendo causar doenças como crescimento exagerado, excesso de cortisol, produção de leite fora da gravidez, entre outras;
- Não funcionantes: não produzem hormônios, mas podem crescer e pressionar estruturas próximas, como nervos dos olhos e a própria hipófise, afetando a produção hormonal normal.
Esses tumores representam cerca de 10% a 15% dos tumores dentro do crânio e são mais comuns em adultos entre 30 e 60 anos. Em muitos casos, são descobertos por acaso, em exames de imagem feitos por outros motivos.
Sintomas de tumor na hipófise
Por estarem próximos ao local de encontro dos nervos da visão, os tumores da hipófise podem comprometer principalmente o campo lateral da visão. Outros sintomas frequentes incluem:
- Dores de cabeça recorrentes;
- Alterações menstruais e dificuldade para engravidar (em mulheres);
- Dificuldade de ereção e queda da libido (em homens);
- Produção de leite fora da gravidez;
- Ganho de peso, sensação de fraqueza e inchaço;
- Mudanças emocionais, como ansiedade e depressão;
- Cansaço extremo e falta de energia.
Em crianças, o excesso do hormônio do crescimento pode causar aumento exagerado da altura. Em adultos, causa crescimento anormal das mãos, pés e traços do rosto.
Como é feito o diagnóstico do problema?
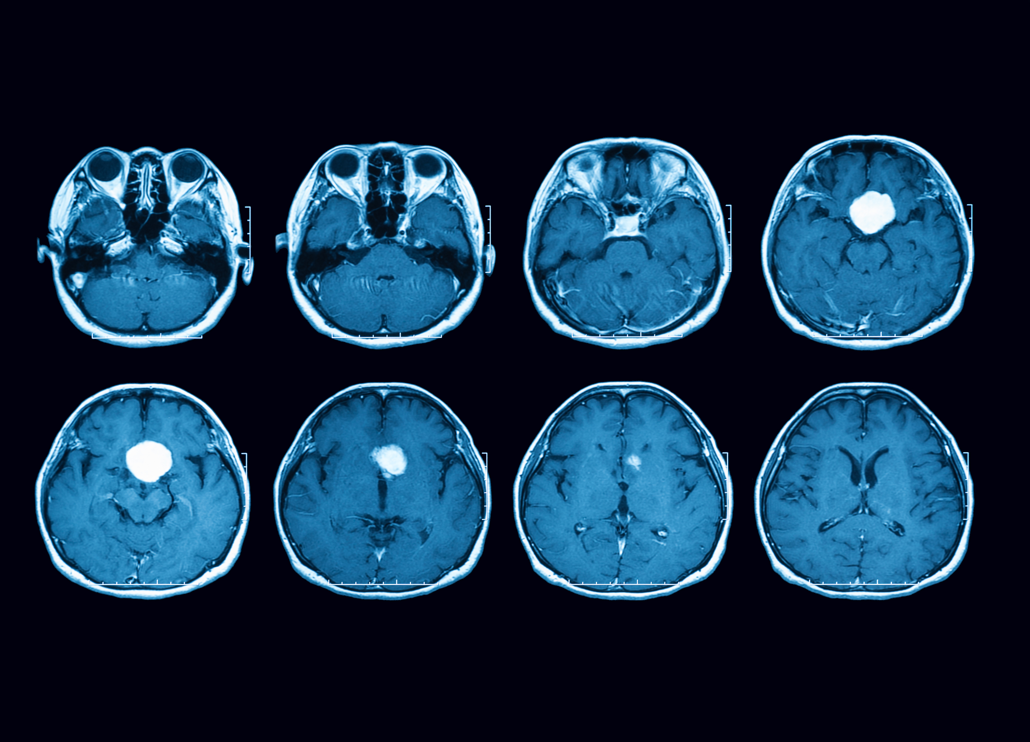
O diagnóstico começa com avaliação clínica e exames de sangue para medir os hormônios produzidos pela hipófise. Depois, a ressonância magnética da região da glândula permite visualizar o tumor e seu tamanho.
Tumores com menos de 1 cm são chamados de microadenomas; acima desse tamanho, macroadenomas. O porte e o tipo do tumor ajudam a decidir o tratamento mais adequado.
Tratamento dos tumores da hipófise e papel da cirurgia
O tratamento varia conforme o tipo, tamanho e comportamento do tumor. Pode incluir:
- Medicamentos: principalmente nos casos de prolactinomas, com boa resposta a remédios específicos;
- Cirurgia: indicada quando há compressão nos nervos relacionados à visão, falha do tratamento com remédios ou em tumores de maior tamanho que não produzem hormônios. O método mais usado atualmente é uma cirurgia minimamente invasiva feita pelo nariz, que costuma garantir boa recuperação;
- Radioterapia: usada em situações especiais, como tumores que sobraram após cirurgia ou que voltam a crescer.
A maioria dos pacientes consegue retornar à rotina após o tratamento, mas pode ser necessário acompanhamento hormonal contínuo.
Por que o diagnóstico precoce é tão importante?
Quanto mais cedo o tumor é identificado, maiores as chances de um tratamento menos agressivo e com melhores resultados. Por isso, é fundamental ficar atento a alterações na visão, nos hormônios e até no comportamento que pareçam fora do comum.
Os tumores da hipófise mostram como um problema aparentemente pequeno pode gerar grandes prejuízos à saúde. Com atenção aos sinais e orientação médica, é possível controlar a doença e recuperar a qualidade de vida.
*Baltazar Leão é professor adjunto do Departamento de Cirurgia da Faculdade de Medicina da Universidade Federal de Minas Gerais (UFMG) e membro da Brazil Health
(Este texto foi produzido em uma parceria exclusiva entre VEJA SAÚDE e Brazil Health)








